COVID-19 infection and extensive subdural empyema: cause or consequence?
DOI:
https://doi.org/10.46900/apn.v5i2.175Keywords:
Empyema, COVID-19, infection, tomography, decompressive craniectomyAbstract
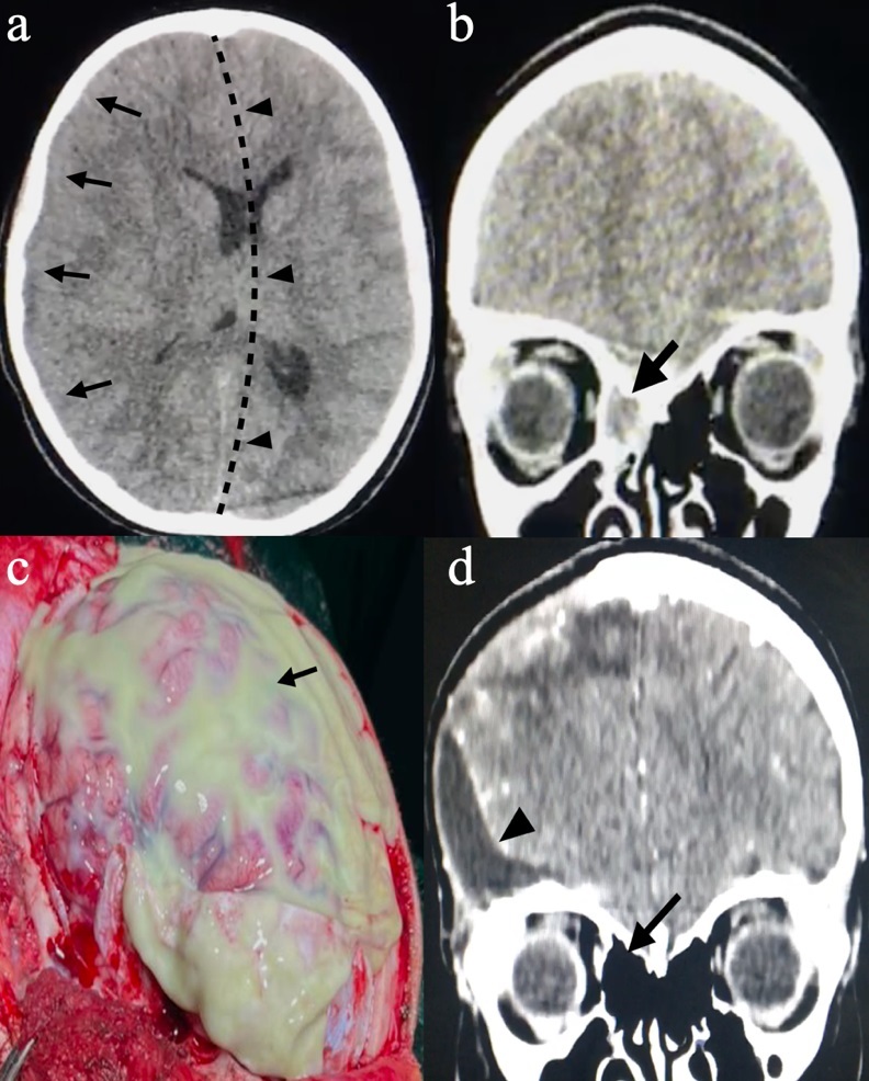
Adolescent, female, 12 years old, with a history of headache and vomiting, without fever, with progressive worsening and coma. Laboratory tests showed positive SARS-CoV-2 PCR RNA. She has not had the vaccine for COVID-19. A non-contrast-enhanced cranial tomography(Figure 1a) showed a right fronto-temporo-parietal cortical hypodense area with significant midline shift. A decompressive craniectomy was performed with drainage of extensive subdural empyema(Figure 1c).
Subdural empyema is most often a consequence of paranasal sinus infections. With the COVID-19 virus also located in the paranasal sinuses, it is not possible to determine whether it is a consequence or cause of subdural empyema (1). Although the pathophysiology is unclear, it is possible that upper respiratory infection by COVID-19 creates a favorable environment for bacterial sinusitis coinfection(Figure 1b), intracranial extension, and formation of subdural empyema (2). Another possible explanation is that the SARS-CoV-2 virus infection affects the immune system and makes the individual more susceptible to infection (3). Therefore, more studies are needed to clarify the relationship between SARS-CoV-2 infection and other infections.
Figure Caption
Figure 1 (a) Computed tomography of the skull, with the axial section showing a right fronto-temporo-parietal hypodense area(black arrows) with significant midline shift(black arrowheads). (b) Computed tomography of the skull, with the coronal section showing signs of sinusitis with opacification of the right ethmoid sinus(black arrow). (c) Intraoperative view after opening the dura mater showing exposure of the right fronto-temporo-parietal cortex covered by viscous purulent secretion(black arrow). (d) Computed tomography of the skull, with the coronal section showing after treatment without ethmoid opacification(black arrow) and small postoperative CSF collection(black arrowhead).
Received: 04 December 2022
Accepted: 08 May 2023
Published: 16 May 2023
Downloads
References
- Haroon K, Reza MA, Taher T, Alam MS, Haque RU, Ahmed MF & Hossain SS. Acute subdural empyema in the young COVID-19 patient- A case report. Bangladesh Journal of Neurosurgery. 2021;10(2):206–209. DOI: 10.3329/bjns.v10i2.53776
- Ljubimov VA, Babadjouni R, Ha J, et al. Adolescent subdural empyema in setting of COVID-19 infection: illustrative case. Journal of Neurosurgery: Case Lessons. 2022; 3(4):CASE21506. DOI: 10.3171/CASE21506
- Charlton M, Nair R, Gupta N. Subdural empyema in adult with recent SARS-CoV-2 positivity case report. Radiol Case Rep. 2021; 16(12):3659-3661. DOI: 10.1016/j.radcr.2021.09.010
Additional Files
Published
How to Cite
Issue
Section
Categories
License
Copyright (c) 2023 Aldo Jose Ferreira da Silva, Daniel Fonseca Oliveira

This work is licensed under a Creative Commons Attribution 4.0 International License.

When publishing in Archives of Pediatric Neurosurgery journal, authors retain the copyright of their article and agree to license their work using a Creative Commons Attribution 4.0 International Public License (CC BY 4.0), thereby accepting the terms and conditions of this license (https://creativecommons.org/licenses/by/4.0/legalcode).
The CC BY 4.0 license terms applies to both readers and the publisher and allows them to: share (copy and redistribute in any medium or format) and adapt (remix, transform, and build upon) the article for any purpose, even commercially, provided that appropriate credit is given to the authors and the journal in which the article was published.
Authors grant Archives of Pediatric Neurosurgery the right to first publish the article and identify itself as the original publisher. Under the terms of the CC BY 4.0 license, authors allow the journal to distribute the article in third party databases, as long as its original authors and citation details are identified.





















